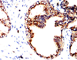
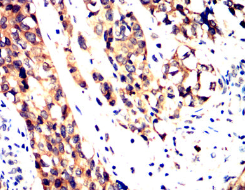
PPID Mouse Monoclonal antibody[5D10E]

AccuSift
CYPD; CYP-40
SKU Name Unit Price Delivery QTY
AC3238 PPID Mouse Monoclonal antibody[5D10E] 100ug $367 10days
AC3238 PPID Mouse Monoclonal antibody[5D10E] 200ug $660.6 10days

The protein encoded by this gene is a member of the peptidyl-prolyl cis-trans isomerase (PPIase) family. PPIases catalyze the cis-trans isomerization of proline imidic peptide bonds in oligopeptides and accelerate the folding of proteins. This protein has been shown to possess PPIase activity and, similar to other family members, can bind to the immunosuppressant cyclosporin A.


Aliases:    CYPD; CYP-40    

Entrez GeneID:    5481    

Swissprot:    Q08752     

WB Predicted band size:    40.7kDa    

Host/Isotype:    Mouse IgG1    

Species Reactivity:    Human    

Immunogen:    Purified recombinant fragment of human PPID (AA: 171-370) expressed in E. Coli.    

Operation

IHC    1/200 - 1/1000    

FCM    1/200 - 1/400    

ELISA    1/10000    

References