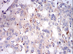
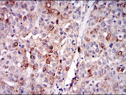
PLIN2 Mouse Monoclonal antibody[2C5A3]

AccuSift
ADFP; ADRP
SKU Name Unit Price Delivery QTY
AC3204 PLIN2 Mouse Monoclonal antibody[2C5A3] 100ug $367 10days
AC3204 PLIN2 Mouse Monoclonal antibody[2C5A3] 200ug $660.6 10days

The protein encoded by this gene belongs to the perilipin family, members of which coat intracellular lipid storage droplets. This protein is associated with the lipid globule surface membrane material, and maybe involved in development and maintenance of adipose tissue. However, it is not restricted to adipocytes as previously thought, but is found in a wide range of cultured cell lines, including fibroblasts, endothelial and epithelial cells, and tissues, such as lactating mammary gland, adrenal cortex, Sertoli and Leydig cells, and hepatocytes in alcoholic liver cirrhosis, suggesting that it may serve as a marker of lipid accumulation in diverse cell types and diseases. Alternatively spliced transcript variants have been found for this gene.


Aliases:    ADFP; ADRP    

Entrez GeneID:    123    

Swissprot:    Q99541    

WB Predicted band size:    48kDa    

Host/Isotype:    Mouse IgG1    

Species Reactivity:    Human    

Immunogen:    Purified recombinant fragment of human PLIN2 (AA: 286-437) expressed in E. Coli.  

Operation

IHC    1/200 - 1/1000    

ELISA    1/10000    

References