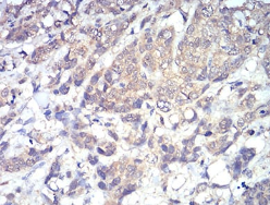
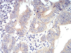
PLCG1 Mouse Monoclonal antibody[3H1C]

AccuSift
PLC1; NCKAP3; PLC-II; PLC148; PLCgamma1
SKU Name Unit Price Delivery QTY
AC3198 PLCG1 Mouse Monoclonal antibody[3H1C] 100ug $367 10days
AC3198 PLCG1 Mouse Monoclonal antibody[3H1C] 200ug $660.6 10days

The protein encoded by this gene catalyzes the formation of inositol 1,4,5-trisphosphate and diacylglycerol from phosphatidylinositol 4,5-bisphosphate. This reaction uses calcium as a cofactor and plays an important role in the intracellular transduction of receptor-mediated tyrosine kinase activators. For example, when activated by SRC, the encoded protein causes the Ras guanine nucleotide exchange factor RasGRP1 to translocate to the Golgi, where it activates Ras. Also, this protein has been shown to be a major substrate for heparin-binding growth factor 1 (acidic fibroblast growth factor)-activated tyrosine kinase. Two transcript variants encoding different isoforms have been found for this gene.


Aliases:    PLC1; NCKAP3; PLC-II; PLC148; PLCgamma1    

Entrez GeneID:   5335    

Swissprot :   P19174     

WB Predicted band size:    148.5kDa    

Host/Isotype:    Mouse IgG1    

Species Reactivity:    Human,Mouse    

Immunogen:    Purified recombinant fragment of human PLCG1 (AA: 1192-1291) expressed in E. Coli.    

Operation

WB    1/500 - 1/2000    

IHC    1/200 - 1/1000    

IF/ICC    1/200 - 1/1000    

FCM    1/200 - 1/400    

ELISA    1/10000    

References