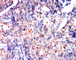
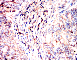
PIK3CA Mouse Monoclonal antibody[4F3A6]

AccuSift
PI3K; p110-alpha
SKU Name Unit Price Delivery QTY
AC3172 PIK3CA Mouse Monoclonal antibody[4F3A6] 100ug $367 10days
AC3172 PIK3CA Mouse Monoclonal antibody[4F3A6] 200ug $660.6 10days

PIK3CA is the most mutated gene in breast cancer and is important in other cancers. An integral part of the PI3K pathway, PIK3CA is an oncogene with two hotspots for activating mutations: the 542/545 region of the helical domain and the 1047 region of the kinase domain. The interaction of PIK3CA with the AKT and mTOR pathways is the subject of an immense amount of research and development, and PI3K inhibitors have exhibited some success in recent clinical trials. While PI3K monotherapies are likely insufficient, there is interest in pursuing PI3K inhibition in combination with other therapies including TKI's, MEK inhibitors, PARP inhibitors, and - in breast cancer - aromatase inhibitors.


Aliases:    PI3K; p110-alpha    

Entrez GeneID:    5290    

Swissprot:    P42336       

WB Predicted band size:    124kDa    

Host/Isotype:    Mouse IgG2a    

Species Reactivity:    Human,Mouse,Rat,Rabbit    

Operation

IHC    1/200 - 1/1000    

IF/ICC    1/200 - 1/1000    

FCM    1/200 - 1/400    

ELISA    1/10000    

References