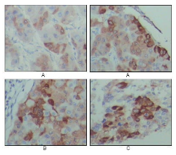
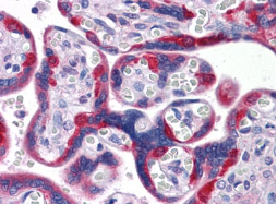
PEG10 Mouse Monoclonal antibody[4C10A]

AccuSift
Edr; HB-1; Mar2; MEF3L; Mart2; RGAG3; KIAA1051; PEG10
SKU Name Unit Price Delivery QTY
AC3149 PEG10 Mouse Monoclonal antibody[4C10A] 100ug $367 10days
AC3149 PEG10 Mouse Monoclonal antibody[4C10A] 200ug $660.6 10days

PEG10, paternally expressed 10. The PEG10 includes two overlapping reading frames of the same transcript encoding distinct isoforms. The shorter isoform has a CCHC-type zinc finger motif containing a sequence characteristic of gag proteins of most retroviruses and some retrotransposons, and it functions in part by interacting with members of the TGF-beta receptor family. The longer isoform has the active-site DSG consensus sequence of the protease domain of pol proteins. The longer isoform is the result of -1 translational frameshifting that is also seen in some retroviruses. Expression of these two isoforms only comes from the paternal allele due to imprinting. Increased gene __expression (as observed by an increase in mRNA levels) is associated with hepatocellular carcinomas.


Aliases:    Edr; HB-1; Mar2; MEF3L; Mart2; RGAG3    

Entrez GeneID:    23089    

Swissprot :   Q86TG7     

WB Predicted band size:    Isoform RF1 (37kDa); RF1/RF2 (80kDa)    

Host/Isotype:    Mouse IgG1     

Species Reactivity:    Human    

Immunogen:    Purified recombinant fragment of human PEG10 expressed in E. Coli.    

Operation

WB    1/500 - 1/2000    

IHC    1/200 - 1/1000    

ELISA    1/10000    

References