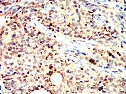
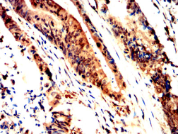
PDXK Mouse Monoclonal antibody[4B4G3]

AccuSift
PKH; PNK; HMSN6C; PRED79; C21orf97; HEL-S-1a; C21orf124
SKU Name Unit Price Delivery QTY
AC3147 PDXK Mouse Monoclonal antibody[4B4G3] 100ug $367 10days
AC3147 PDXK Mouse Monoclonal antibody[4B4G3] 200ug $660.6 10days

The protein encoded by this gene phosphorylates vitamin B6, a step required for the conversion of vitamin B6 to pyridoxal-5-phosphate, an important cofactor in intermediary metabolism. The encoded protein is cytoplasmic and probably acts as a homodimer. Alternatively spliced transcript variants have been described, but their biological validity has not been determined.


Aliases:    PKH; PNK; HMSN6C; PRED79; C21orf97; HEL-S-1a; C21orf124    

Entrez GeneID:    8566    

Swissprot:    O00764    

WB Predicted band size:    35kDa    

Host/Isotype:    Mouse IgG1    

Species Reactivity:    Human, Mouse    

Immunogen :   Purified recombinant fragment of human PDXK (AA:1-312) expressed in E. Coli.    

Operation

WB    1/500 - 1/2000    

IHC    1/200 - 1/1000    

IF/ICC    1/50 - 1/200    

FCM    1/200 - 1/400    

References