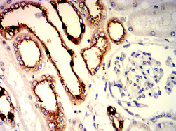
PDLIM7 Mouse Monoclonal antibody[2B4A3]

AccuSift
LMP1; LMP3
SKU Name Unit Price Delivery QTY
AC3141 PDLIM7 Mouse Monoclonal antibody[2B4A3] 100ug $367 10days
AC3141 PDLIM7 Mouse Monoclonal antibody[2B4A3] 200ug $660.6 10days

The protein encoded by this gene is representative of a family of proteins composed of conserved PDZ and LIM domains. LIM domains are proposed to function in protein-protein recognition in a variety of contexts including gene transcription and development and in cytoskeletal interaction. The LIM domains of this protein bind to protein kinases, whereas the PDZ domain binds to actin filaments. The gene product is involved in the assembly of an actin filament-associated complex essential for transmission of ret/ptc2 mitogenic signaling. The biological function is likely to be that of an adapter, with the PDZ domain localizing the LIM-binding proteins to actin filaments of both skeletal muscle and nonmuscle tissues. Alternative splicing of this gene results in multiple transcript variants.


Aliases:    LMP1; LMP3    

Entrez GeneID :   9260    

Swissprot:    Q9NR12    

WB Predicted band size:    49.8kDa    

Host/Isotype:    Mouse IgG1    

Species Reactivity:    Human    

Immunogen:    Purified recombinant fragment of human PDLIM7 (AA: 86-280) expressed in HEK293-6e cells supernatant.    

Operation

IHC    1/200 - 1/1000    

IF/ICC    1/20 - 1/100    

FCM    1/200 - 1/400    

ELISA    1/10000    

References