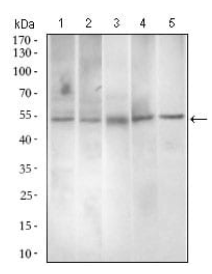
PAX3 Mouse Monoclonal antibody[7D87]

AccuSift
WS1; WS3; CDHS; HUP2
SKU Name Unit Price Delivery QTY
AC3101 PAX3 Mouse Monoclonal antibody[7D87] 100ug $367 10days
AC3101 PAX3 Mouse Monoclonal antibody[7D87] 200ug $660.6 10days

This gene is a member of the paired box (PAX) family of transcription factors. Members of the PAX family typically contain a paired box domain and a paired-type homeodomain. These genes play critical roles during fetal development. Mutations in paired box gene 3 are associated with Waardenburg syndrome, craniofacial-deafness-hand syndrome, and alveolar rhabdomyosarcoma. The translocation t(2;13)(q35;q14), which represents a fusion between PAX3 and the forkhead gene, is a frequent finding in alveolar rhabdomyosarcoma. Alternative splicing results in transcripts encoding isoforms with different C-termini.


Aliases:    WS1; WS3; CDHS; HUP2    

Entrez GeneID :   5077    

Swissprot :   P23760    

WB Predicted band size:    53kDa    

Host/Isotype:    Mouse IgG1    

Species Reactivity:    Human,Mouse    

Immunogen:    Purified recombinant fragment of human PAX3 (AA: 142-203) expressed in E. Coli.    


Operation

WB    1/500 - 1/2000    

ELISA    1/10000    

References