p53 Mouse Monoclonal antibody[4A8B1]

AccuSift
p53; LFS1; TRP53; FLJ92943; TP53
SKU Name Unit Price Delivery QTY
AC3083 p53 Mouse Monoclonal antibody[4A8B1] 100ug $367 10days
AC3083 p53 Mouse Monoclonal antibody[4A8B1] 200ug $660.6 10days

p53 responds to diverse cellular stresses to regulate target genes that induce cell cycle arrest, apoptosis, senescence, DNA repair, or changes in metabolism. p53 protein is expressed at low level in normal cells and at a high level in a variety of transformed cell lines, where it's believed to contribute to transformation and malignancy. p53 is a DNA-binding protein containing transcription activation, DNA-binding, and oligomerization domains. It is postulated to bind to a p53-binding site and activate expression of downstream genes that inhibit growth and/or invasion, and thus function as a tumor suppressor. Mutants of p53 that frequently occur in a number of different human cancers fail to bind the consensus DNA binding site, and hence cause the loss of tumor suppressor activity. Alterations of this gene occur not only as somatic mutations in human malignancies, but also as germline mutations in some cancer-prone families with Li-Fraumeni syndrome. Multiple p53 variants due to alternative promoters and multiple alternative splicing have been found. These variants encode distinct isoforms, which can regulate p53 transcriptional activity.


Aliases:    LFS1, TRP53, TP53    

Entrez GeneID:    7157    

Swissprot :   P04637     

WB Predicted band size:    43.7kDa    

Host/Isotype:    Mouse IgG1    

Species Reactivity:    Human    

Immunogen :   Purified recombinant fragment of human p53 expressed in E. Coli.    

Operation

WB    1/500 - 1/2000    

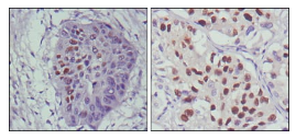
IHC    1/200 - 1/1000    

ELISA    1/10000    

References