P2RX7 Mouse Monoclonal antibody[7G1D6]

AccuSift
P2X7
SKU Name Unit Price Delivery QTY
AC3064 P2RX7 Mouse Monoclonal antibody[7G1D6] 100ug $367 10days
AC3064 P2RX7 Mouse Monoclonal antibody[7G1D6] 200ug $660.6 10days


The product of this gene belongs to the family of purinoceptors for ATP. This receptor functions as a ligand-gated ion channel and is responsible for ATP-dependent lysis of macrophages through the formation of membrane pores permeable to large molecules. Activation of this nuclear receptor by ATP in the cytoplasm may be a mechanism by which cellular activity can be coupled to changes in gene expression. Multiple alternatively spliced variants have been identified, most of which fit nonsense-mediated decay (NMD) criteria.





Aliases:    P2X7    

Entrez GeneID:    5027    

Swissprot:    Q99572    

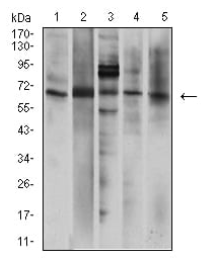
WB Predicted band size:    68.6kDa    

Host/Isotype :   Mouse IgG2b    

Species Reactivity:    Human,Mouse,Rabbit    

Immunogen :   Purified recombinant fragment of human P2RX7 (AA: 226-452) expressed in E. Coli.    

Operation

WB    1/500 - 1/2000    

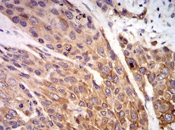
IHC    1/200 - 1/1000    

FCM    1/200 - 1/400    

ELISA    1/10000    

References