P16 (Mouse and Human) Mouse Monoclonal antibody[2D9A1]

AccuSift
ARF; MLM; p14; p16; p19; CMM2; INK4; MTS1; TP16; CDK4I; CDKN2; INK4a; p14ARF; p16INK4; p16INK4a; CDKN2A
SKU Name Unit Price Delivery QTY
AC3061 P16 (Mouse and Human) Mouse Monoclonal antibody[2D9A1] 100ug $367 10days
AC3061 P16 (Mouse and Human) Mouse Monoclonal antibody[2D9A1] 200ug $660.6 10days

The progression of cells through the cell cycle is regulated by a family of protein kinases known as cyclin-dependent kinases (Cdks). The sequential activation of individual members of this family and their consequent phosphorylation of critical substrates promotes orderly progression through the cell cycle. The cyclins function as differentially expressed positive regulators of Cdks. Negative regulators of the cycle include the p53-inducible 21 kDa WAF1/Cip1 protein designated p21, Kip1 p27 and p16. The complexes formed by Cdk4 and the D-type cyclins have been strongly implicated in the control of cell proliferation during the G1 phase. It has recently been shown that p16 binds to Cdk4 and inhibits the catalytic activity of the Cdk4/cyclin D complex. Moreover, the gene encoding p16 exhibits a high frequency of homozygous deletions and point mutations in established human tumor cell lines.



Aliases:    P16    

Entrez GeneID:   1029    

Swissprot:    P42771    

WB Predicted band size :   16.5kDa    

Host/Isotype:    Mouse IgG2b    

Species Reactivity :   Human,Mouse,Rat,Rabbit    

Immunogen  :  Purified recombinant fragment of P16 expressed in E. Coli.    

Operation

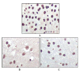
IHC    1/200 - 1/1000    

ELISA    1/10000    

References