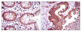
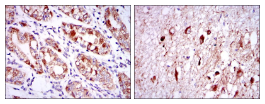
OTX2 Mouse Monoclonal antibody[1H12G]

AccuSift
MCOPS5; MGC45000
SKU Name Unit Price Delivery QTY
AC3056 OTX2 Mouse Monoclonal antibody[1H12G] 100ug $367 10days
AC3056 OTX2 Mouse Monoclonal antibody[1H12G] 200ug $660.6 10days

This gene encodes a member of the bicoid sub-family of homeodomain-containing transcription factors. The encoded protein acts as a transcription factor and may play a role in brain and sensory organ development. A similar protein in mice is required for proper forebrain development.Tissue specificity: Expressed in brain.

    

Aliases:    MCOPS5; MGC45000    

Entrez GeneID:    5015    

Swissprot:    P32243    

WB Predicted band size :   32kDa    

Host/Isotype :   Mouse IgG1    

Species Reactivity:    Human    

Immunogen :   Purified recombinant fragment of human OTX2 expressed in E. Coli.    

Operation

WB    1/500 - 1/2000    

IHC    1/200 - 1/1000    

IF/ICC    1/200 - 1/1000    

ELISA    1/10000    

References