OTUB2 Mouse Monoclonal antibody[2B7E7]

AccuSift
OTB2; OTU2; C14orf137
SKU Name Unit Price Delivery QTY
AC3053 OTUB2 Mouse Monoclonal antibody[2B7E7] 100ug $367 10days
AC3053 OTUB2 Mouse Monoclonal antibody[2B7E7] 200ug $660.6 10days

This gene encodes one of several deubiquitylating enzymes. Ubiquitin modification of proteins is needed for their stability and function; to reverse the process, deubiquityling enzymes remove ubiquitin. This protein contains an OTU domain and binds Ubal (ubiquitin aldehyde); an active cysteine protease site is present in the OTU domain.


Aliases:    OTB2; OTU2; C14orf137    

Entrez GeneID :   78990    

Swissprot:    Q96DC9    

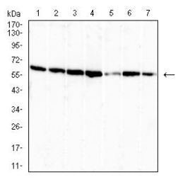
WB Predicted band size:    27KDa    

Host/Isotype:    Mouse IgG1    

Species Reactivity:    Human    

Immunogen :   Purified recombinant fragment of human OTUB2 (AA:full(1-234)) expressed in E. Coli.    

Operation

WB    1/500 - 1/2000    

FCM    1/200 - 1/400    

ELISA    1/10000    

References