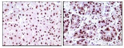
Nucleophosmin Mouse Monoclonal antibody[7H10]

AccuSift
B23; NPM; MGC104254; NPM1
SKU Name Unit Price Delivery QTY
AC3042 Nucleophosmin Mouse Monoclonal antibody[7H10] 100ug $367 10days
AC3042 Nucleophosmin Mouse Monoclonal antibody[7H10] 200ug $660.6 10days

Nucleophosmin (NPM), also named B23 or NO38, is a major nucleolar protein which is 20 times more abundant in tumor or proliferating cells than in normal resting cells. NPM has been implicated in several distinct cellular functions, including assembly and transport of ribosomes, cytoplasmic/nuclear trafficking, regulation of DNA polymerase alpha activity, centrosome duplication and molecular chaperoning activities. The NPM is also known for its fusion with the anaplastic lymphoma kinase (ALK) receptor tyrosine kinase. The NPM portion contributes to transformation by providing a dimerization domain, which results in activation of the fused kinase.



Aliases:    B23; NPM    

Entrez GeneID:    4869    

Swissprot:    P06748       

WB Predicted band size :   33kDa    

Host/Isotype:    Mouse IgG1    

Species Reactivity:    Human,Monkey    

Immunogen :   Purified recombinant fragment of human NPM (2-265) expressed in E. Coli.    

Operation

WB    1/500 - 1/2000    

IHC    1/200 - 1/1000    

IF/ICC    1/200 - 1/1000    

ELISA    1/10000    

References