NQO1 Mouse Monoclonal antibody[4D12E]

AccuSift
DTD; QR1; DHQU; DIA4; NMOR1; NMORI
SKU Name Unit Price Delivery QTY
AC3022 NQO1 Mouse Monoclonal antibody[4D12E] 100ug $367 10days
AC3022 NQO1 Mouse Monoclonal antibody[4D12E] 200ug $660.6 10days

This gene is a member of the NAD(P)H dehydrogenase (quinone) family and encodes a cytoplasmic 2-electron reductase. This FAD-binding protein forms homodimers and reduces quinones to hydroquinones. This protein's enzymatic activity prevents the one electron reduction of quinones that results in the production of radical species. Mutations in this gene have been associated with tardive dyskinesia (TD), an increased risk of hematotoxicity after exposure to benzene, and susceptibility to various forms of cancer. Altered expression of this protein has been seen in many tumors and is also associated with Alzheimer's disease (AD). Alternate transcriptional splice variants, encoding different isoforms, have been characterized.

    

Aliases:    DTD; QR1; DHQU; DIA4; NMOR1; NMORI    

Entrez GeneID:    1728    

Swissprot :   P15559    

WB Predicted band size:    31kDa    

Host/Isotype :   Mouse IgG1    

Species Reactivity:    Human    

Immunogen:    Purified recombinant fragment of human NQO1 expressed in E. Coli.    

Operation

WB    1/500 - 1/2000    

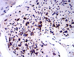
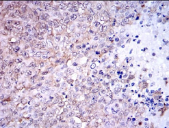
IHC    1/200 - 1/1000    

FCM    1/200 - 1/400    

ELISA    1/10000    

References