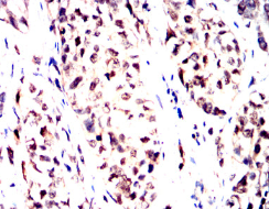
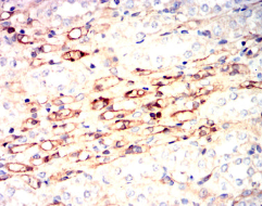
NPM3 Mouse Monoclonal antibody[1B4C5]

AccuSift
PORMIN; TMEM123
SKU Name Unit Price Delivery QTY
AC3018 NPM3 Mouse Monoclonal antibody[1B4C5] 100ug $367 10days
AC3018 NPM3 Mouse Monoclonal antibody[1B4C5] 200ug $660.6 10days

The protein encoded by this gene is related to the nuclear chaperone phosphoproteins, nucleoplasmin and nucleophosmin. This protein is strongly expressed in diverse cell types where it localizes primarily to the nucleus. Based on its similarity to nucleoplasmin and nucleophosmin, this protein likely functions as a molecular chaperone in the cell nucleus.

    

Aliases:    PORMIN; TMEM123    

Entrez GeneID:    10360    

Swissprot :   O75607    

WB Predicted band size:    19kDa    

Host/Isotype :   Mouse IgG1    

Species Reactivity:    Human, Mouse    

Immunogen :   Purified recombinant fragment of human NPM3 (AA: full 1-178) expressed in E. Coli.    

Operation

IHC    1/200 - 1/1000    

FCM    1/200 - 1/400    

ELISA    1/10000    

References