| SKU | Name | Unit | Price | Delivery | QTY |
|---|---|---|---|---|---|
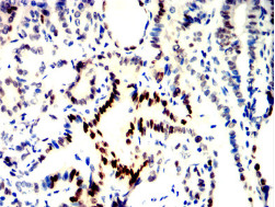
| AC3017 | NPM2 Mouse Monoclonal antibody[2B431] | 100ug | $367 | 10days |
|
| AC3017 | NPM2 Mouse Monoclonal antibody[2B431] | 200ug | $660.6 | 10days |
|

WeChat