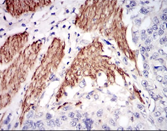
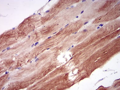
NPC1 Mouse Monoclonal antibody[8D10B]

AccuSift
NPC
SKU Name Unit Price Delivery QTY
AC3014 NPC1 Mouse Monoclonal antibody[8D10B] 100ug $367 10days
AC3014 NPC1 Mouse Monoclonal antibody[8D10B] 200ug $660.6 10days

This gene encodes a large protein that resides in the limiting membrane of endosomes and lysosomes and mediates intracellular cholesterol trafficking via binding of cholesterol to its N-terminal domain. It is predicted to have a cytoplasmic C-terminus, 13 transmembrane domains, and 3 large loops in the lumen of the endosome - the last loop being at the N-terminus. This protein transports low-density lipoproteins to late endosomal/lysosomal compartments where they are hydrolized and released as free cholesterol. Defects in this gene cause Niemann-Pick type C disease, a rare autosomal recessive neurodegenerative disorder characterized by over accumulation of cholesterol and glycosphingolipids in late endosomal/lysosomal compartments.

    

Aliases:    NPC    

Entrez GeneID:    4864    

Swissprot:    O15118    

WB Predicted band size :   142.2kDa    

Host/Isotype :   Mouse IgG1    

Species Reactivity:    Human    

Immunogen:    Purified recombinant fragment of human NPC1 (AA: 34-174) expressed in E. Coli.    

Operation

IHC    1/200 - 1/1000    

ELISA    1/10000    

References