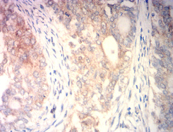
NGFR Mouse Monoclonal antibody[8G8H1]

AccuSift
CD271; p75NTR; TNFRSF16; p75(NTR); Gp80-LNGFR
SKU Name Unit Price Delivery QTY
AC2998 NGFR Mouse Monoclonal antibody[8G8H1] 100ug $367 10days
AC2998 NGFR Mouse Monoclonal antibody[8G8H1] 200ug $660.6 10days

Nerve growth factor receptor contains an extracellular domain containing four 40-amino acid repeats with 6 cysteine residues at conserved positions followed by a serine/threonine-rich region, a single transmembrane domain, and a 155-amino acid cytoplasmic domain. The cysteine-rich region contains the nerve growth factor binding domain.



Aliases:   CD271; p75NTR; TNFRSF16; p75(NTR); Gp80-LNGFR    

Entrez GeneID:    4804    

Swissprot:    P08138      

WB Predicted band size:    45.2kDa    

Host/Isotype:    Mouse IgG1    

Species Reactivity:    Human    

Immunogen:    Purified recombinant fragment of human NGFR (AA: 1-200 ) expressed in E. Coli.    

Operation

IHC    1/200 - 1/1000    

FCM    1/200 - 1/400    

ELISA    1/10000    

References