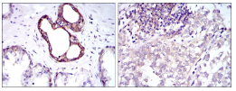
NFKB1 Mouse Monoclonal antibody[5D10B8]

AccuSift
p50; KBF1; p105; EBP-1; MGC54151; NFKB-p50; NFkappaB; NF-kappaB; NFKB-p105; NF-kappa-B; DKFZp686C01211
SKU Name Unit Price Delivery QTY
AC2988 NFKB1 Mouse Monoclonal antibody[5D10B8] 100ug $367 10days
AC2988 NFKB1 Mouse Monoclonal antibody[5D10B8] 200ug $660.6 10days

This gene encodes a 105 kD protein which can undergo cotranslational processing by the 26S proteasome to produce a 50 kD protein. The 105 kD protein is a Rel protein-specific transcription inhibitor and the 50 kD protein is a DNA binding subunit of the NF-kappa-B (NFKB) protein complex. NFKB is a transcription regulator that is activated by various intra- and extra-cellular stimuli such as cytokines, oxidant-free radicals, ultraviolet irradiation, and bacterial or viral products. Activated NFKB translocates into the nucleus and stimulates the expression of genes involved in a wide variety of biological functions. Inappropriate activation of NFKB has been associated with a number of inflammatory diseases while persistent inhibition of NFKB leads to inappropriate immune cell development or delayed cell growth. Two transcript variants encoding different isoforms have been found for this gene.

    

Aliases:    p50; KBF1; p105; EBP-1; MGC54151; NFKB-p50; NFkappaB; NF-kappaB; NFKB-p105; NF-kappa-B    

Entrez GeneID:    4790    

Swissprot :   P19838       

WB Predicted band size:    50kDa/105kDa    

Host/Isotype :   Mouse IgG2a    

Species Reactivity:    Human    

Immunogen:    Purified recombinant fragment of human NFKB1 expressed in E. Coli.    

Operation

WB    1/500 - 1/2000    

IHC    1/200 - 1/1000    

FCM    1/200 - 1/400    

ELISA    1/10000    

References