NCK1 Mouse Monoclonal antibody[5B7C2]

AccuSift
NCK; nck-1; NCKalpha
SKU Name Unit Price Delivery QTY
AC2962 NCK1 Mouse Monoclonal antibody[5B7C2] 100ug $367 10days
AC2962 NCK1 Mouse Monoclonal antibody[5B7C2] 200ug $660.6 10days

The protein encoded by this gene is one of the signaling and transforming proteins containing Src homology 2 and 3 (SH2 and SH3) domains. It is located in the cytoplasm and is an adaptor protein involved in transducing signals from receptor tyrosine kinases to downstream signal recipients such as RAS. Alternatively spliced transcript variants encoding different isoforms have been found.



Aliases :   NCK; nck-1; NCKalpha    

Entrez GeneID:    4690    

Swissprot:    P16333        

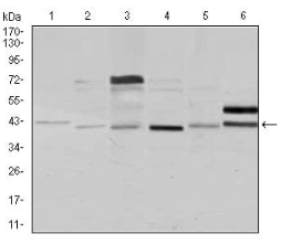
WB Predicted band size :   47kDa    

Host/Isotype :   Mouse IgG1    

Species Reactivity:    Human,Monkey    

Immunogen:    Purified recombinant fragment of human NCK1 expressed in E. Coli.    

Operation

WB    1/500 - 1/2000    

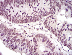
IHC    1/200 - 1/1000    

FCM    1/200 - 1/400    

ELISA    1/10000    

References