NBN Mouse Monoclonal antibody[7E4C2]

AccuSift
ATV; NBS; P95; NBS1; AT-V1; AT-V2
SKU Name Unit Price Delivery QTY
AC2957 NBN Mouse Monoclonal antibody[7E4C2] 100ug $367 10days
AC2957 NBN Mouse Monoclonal antibody[7E4C2] 200ug $660.6 10days

Mutations in this gene are associated with Nijmegen breakage syndrome, an autosomal recessive chromosomal instability syndrome characterized by microcephaly, growth retardation, immunodeficiency, and cancer predisposition. The encoded protein is a member of the MRE11/RAD50 double-strand break repair complex which consists of 5 proteins. This gene product is thought to be involved in DNA double-strand break repair and DNA damage-induced checkpoint activation.

   


Aliases:    ATV; NBS; P95; NBS1; AT-V1; AT-V2    

Entrez GeneID:    4683    

Swissprot:   O60934    

WB Predicted band size:    85kDa    

Host/Isotype:    Mouse IgG2a    

Species Reactivity:    Human    

Immunogen:    Purified recombinant fragment of human NBN (AA: 467-615) expressed in E. Coli.    

Operation

WB    1/500 - 1/2000    

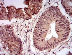
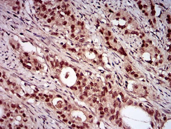
IHC    1/200 - 1/1000    

IF/ICC    1/200 - 1/1000    

FCM    1/200 - 1/400    

ELISA    1/10000    

References