NAGR1 Mouse Monoclonal antibody[5G6C1]

AccuSift
CEAR; HNRPM; HTGR1; NAGR1; HNRPM4; HNRNPM4; hnRNP M
SKU Name Unit Price Delivery QTY
AC2950 NAGR1 Mouse Monoclonal antibody[5G6C1] 100ug $367 10days
AC2950 NAGR1 Mouse Monoclonal antibody[5G6C1] 200ug $660.6 10days

This gene belongs to the subfamily of ubiquitously expressed heterogeneous nuclear ribonucleoproteins (hnRNPs). The hnRNPs are RNA binding proteins and they complex with heterogeneous nuclear RNA (hnRNA). These proteins are associated with pre-mRNAs in the nucleus and appear to influence pre-mRNA processing and other aspects of mRNA metabolism and transport. While all of the hnRNPs are present in the nucleus, some seem to shuttle between the nucleus and the cytoplasm. The hnRNP proteins have distinct nucleic acid binding properties. The protein encoded by this gene has three repeats of quasi-RRM domains that bind to RNAs. This protein also constitutes a monomer of the N-acetylglucosamine-specific receptor which is postulated to trigger selective recycling of immature GlcNAc-bearing thyroglobulin molecules. Alternative splicing results in multiple transcript variants.

    


Aliases:    CEAR; HNRPM; HTGR1; NAGR1; HNRPM4; HNRNPM4; hnRNP M    

Entrez GeneID:    4670    

Swissprot:    P52272     

WB Predicted band size :   77.5kDa    

Host/Isotype:    Mouse IgG1    

Species Reactivity :   Human,Mouse,Rat    

Immunogen:    Purified recombinant fragment of human NAGR1 (AA: 17-161) expressed in E. Coli.    

Operation

WB    1/500 - 1/2000    

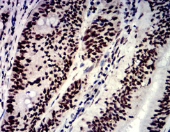
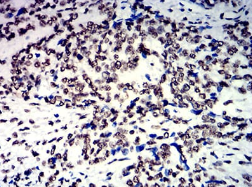
IHC    1/200 - 1/1000    

IF/ICC    1/200 - 1/1000    

FCM    1/200 - 1/400    

ELISA    1/10000    

References