NACC1 Mouse Monoclonal antibody[6H2D1]

AccuSift
NAC1; BEND8; NAC-1; BTBD14B; FLJ37383; NACC1
SKU Name Unit Price Delivery QTY
AC2949 NACC1 Mouse Monoclonal antibody[6H2D1] 100ug $367 10days
AC2949 NACC1 Mouse Monoclonal antibody[6H2D1] 200ug $660.6 10days

NAC1 or nuclear accumbens-1 is a nuclear factor that belongs to the POZ/BTB (Pox virus and zinc finger/bric-a-brac tramtrack broad complex) domain family. Also known as BTBD14B, it was originally identified in a unique neuronal forebrain structure responsible for reward motivation and addictive behaviors . NAC1 recruits HDAC3 and HDAC4 to transcriptionally repress gene expression in neuronal cells (3) and specifically co-represses other POZ/BTB proteins in the central nervous system . NAC1 is upregulated in several tumor types, including breast, renal cell, and hepatocellular carcinoma, as well as high grade ovarian serous carcinoma, where it has long been suspected as a chemoresistance gene . The chemoresistance mechanism reportedly occurs through NAC1 negative regulation of the GADD45 pathway . NAC1 has also been described as part of the extended transcriptional network in pluripotent cells that involves Oct-4, Sox2, Nanog, Sall1, KLF4 and Sall4 . Tissue specificity: Overexpressed in several types of carcinomas including ovarian serous carcinomas. Expression levels positively correlate with tumor recurrence in ovarian serous carcinomas, and intense immunoreactivity in primary ovarian tumors predicts early recurrence. Up-regulated in ovarian carcinomas after chemotherapy, suggesting a role in development of chemotherapy resistance in ovarian cancer .

  

Aliases:    NAC1; BEND8; NAC-1; BTBD14B; FLJ37383; NACC1    

Entrez GeneID:    112939    

Swissprot:    Q96RE7       

WB Predicted band size:    58kDa    

Host/Isotype:    Mouse IgG1    

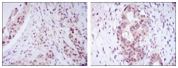
Species Reactivity  :  Human    

Immunogen :   Purified recombinant fragment of human NACC1 expressed in E. Coli.    

Operation

IHC    1/200 - 1/1000    

ELISA    1/10000    

References