MYST1 Mouse Monoclonal antibody[8C4C4]

AccuSift
MOF; KAT8; hMOF; FLJ14040; MYST1
SKU Name Unit Price Delivery QTY
AC2946 MYST1 Mouse Monoclonal antibody[8C4C4] 100ug $367 10days
AC2946 MYST1 Mouse Monoclonal antibody[8C4C4] 200ug $660.6 10days

MYST1 (MYST histone acetyltransferase 1, MOF) belongs to the MYST family of histone acetyltransferases, which are employed in the cell to bring about transcriptional regulation. The MYST family includes MYST1, is named for the founding members MOZ, yeast YBF2 and SAS2, and TIP60. All members of this family contain a MYST region of about 240 amino acids with a canonical acetyl-CoA-binding site and a C2HC-type zinc finger motif. Most MYST proteins also have a chromodomain involved in protein- protein interactions and targeting transcriptional regulators to chromatin. Although MOF is expressed in both males and females, it associates with the X chromosome only in males. MOF contains a zinc-finger domain that is used to contact the globular part of the nucleosome and histone H4. The carboxy terminal domain of human MOF also has histone acetyltransferase activity directed against histones H3 and H2A, a characteristic shared with other MYST family histone

   


Aliases:    MOF; KAT8; hMOF    

Entrez GeneID:    84148    

Swissprot :   Q9H7Z6    

WB Predicted band size:    53kDa    

Host/Isotype :   Mouse IgG2b    

Species Reactivity:    Human    

Immunogen :   Purified recombinant fragment of human MYST1 expressed in E. Coli.    

Operation

WB    1/500 - 1/2000    

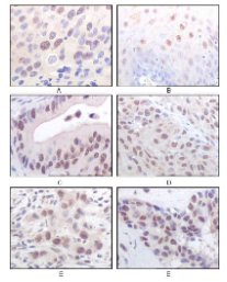
IHC    1/200 - 1/1000    

IF/ICC    1/200 - 1/1000    

ELISA    1/10000    

References