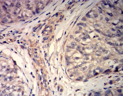
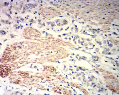
MYLK Mouse Monoclonal antibody[7F2B2]

AccuSift
KRP; AAT7; MLCK; MLCK1; MMIHS; MYLK1; smMLCK; MLCK108; MLCK210; MSTP083
SKU Name Unit Price Delivery QTY
AC2941 MYLK Mouse Monoclonal antibody[7F2B2] 100ug $367 10days
AC2941 MYLK Mouse Monoclonal antibody[7F2B2] 200ug $660.6 10days

This gene, a muscle member of the immunoglobulin gene superfamily, encodes myosin light chain kinase which is a calcium/calmodulin dependent enzyme. This kinase phosphorylates myosin regulatory light chains to facilitate myosin interaction with actin filaments to produce contractile activity. This gene encodes both smooth muscle and nonmuscle isoforms. In addition, using a separate promoter in an intron in the 3' region, it encodes telokin, a small protein identical in sequence to the C-terminus of myosin light chain kinase, that is independently expressed in smooth muscle and functions to stabilize unphosphorylated myosin filaments. A pseudogene is located on the p arm of chromosome 3. Four transcript variants that produce four isoforms of the calcium/calmodulin dependent enzyme have been identified as well as two transcripts that produce two isoforms of telokin. Additional variants have been identified but lack full length transcripts.



Aliases:    KRP; AAT7; MLCK; MLCK1; MMIHS; MYLK1; smMLCK; MLCK108; MLCK210; MSTP083    

Entrez GeneID :   4638    

Swissprot :   Q15746    

WB Predicted band size :   210kDa    

Host/Isotype:    Mouse IgG1    

Species Reactivity :   Human, Mouse    

Immunogen :   Purified recombinant fragment of human MYLK (AA:1375-1524) expressed in E. Coli.    

Operation

WB    1/500 - 1/2000    

IHC    1/200-1/1000    

IF/ICC    1/200 - 1/1000    

FCM    1/200-1/400    

ELISA    1/10000    

References