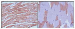
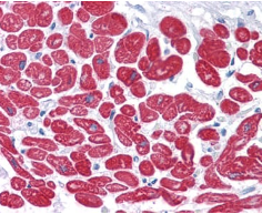
MYL3 Mouse Monoclonal antibody[7C1G1]

AccuSift
CMH8; VLC1; MLC1V; MLC1SB; MYL3
SKU Name Unit Price Delivery QTY
AC2939 MYL3 Mouse Monoclonal antibody[7C1G1] 100ug $367 10days
AC2939 MYL3 Mouse Monoclonal antibody[7C1G1] 200ug $660.6 10days

Myosins are a large superfamily of motor proteins that move along actin filaments, while hydrolyzing ATP. Myosin is the major component of thick muscle filaments, and is a long asymmetric molecule containing a globular head and a long tail. The molecule consists of two heavy chains and four light chains. Activation of smooth and cardiac muscle primarily involves pathways which increase calcium and myosin phosphorylation resulting in contraction. Myosin light chain phosphatase acts to regulate muscle contraction by dephosphorylating activated myosin light chain. MYL3 encodes myosin light chain 3, an alkali light chain also referred to in the literature as both the ventricular isoform and the slow skeletal muscle isoform. Human myosin light chain has clinical application as a cardiac marker. Mutations in MYL3 have been identified as a cause of mid-left ventricular chamber type hypertrophic cardiomyopathy.



Aliases:    CMH8; VLC1; MLC1V; MLC1SB    

Entrez GeneID:    4634    

Swissprot :   P08590    

WB Predicted band size:    22kDa    

Host/Isotype  :  Mouse IgG1    

Species Reactivity:    Human    

Immunogen:    Purified recombinant fragment of MYL3 expressed in E. Coli.    

Operation

WB    1/500 - 1/2000    

IHC    1/200 - 1/1000    

ELISA    1/10000    

References