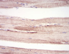
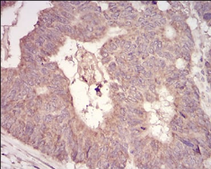
MuRF1 Mouse Monoclonal antibody[7B8E1]

AccuSift
TRIM63; IRF; SMRZ; MURF2; RNF28
SKU Name Unit Price Delivery QTY
AC2930 MuRF1 Mouse Monoclonal antibody[7B8E1] 100ug $367 10days
AC2930 MuRF1 Mouse Monoclonal antibody[7B8E1] 200ug $660.6 10days

This gene encodes a member of the RING zinc finger protein family found in striated muscle and iris. The product of this gene is an E3 ubiquitin ligase that localizes to the Z-line and M-line lattices of myofibrils. This protein plays an important role in the atrophy of skeletal and cardiac muscle and is required for the degradation of myosin heavy chain proteins, myosin light chain, myosin binding protein, and for muscle-type creatine kinase.

   


Aliases:    TRIM63; IRF; SMRZ; MURF2; RNF28    

Entrez GeneID:    84676    

Swissprot :   Q969Q1       

WB Predicted band size:    40.2kDa    

Host/Isotype:    Mouse IgG1    

Species Reactivity:    Human    

Immunogen:    Synthesized peptide of human MuRF1 (AA: 293-304).    

Operation

IHC    1/200 - 1/1000    

IF/ICC    1/200 - 1/1000    

FCM    1/200 - 1/400    

ELISA    1/10000    

References