| SKU | Name | Unit | Price | Delivery | QTY |
|---|---|---|---|---|---|
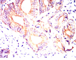
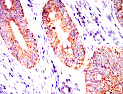
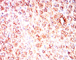
| AC2911 | MUC13 Mouse Monoclonal antibody[8B2A7] | 100ug | $367 | 10days |
|
| AC2911 | MUC13 Mouse Monoclonal antibody[8B2A7] | 200ug | $660.6 | 10days |
|

WeChat