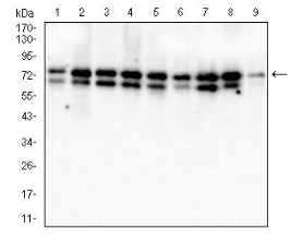
MTDH Mouse Monoclonal antibody[8A4B1]

AccuSift
3D3; AEG1; AEG-1; LYRIC; LYRIC/3D3
SKU Name Unit Price Delivery QTY
AC2905 MTDH Mouse Monoclonal antibody[8A4B1] 100ug $367 10days
AC2905 MTDH Mouse Monoclonal antibody[8A4B1] 200ug $660.6 10days

MTDH (Metadherin) is a Protein Coding gene. Diseases associated with MTDH include Tongue Carcinoma and Gallbladder Adenocarcinoma. Among its related pathways are Gastric Cancer Network 2 and Validated targets of C-MYC transcriptional activation. Gene Ontology (GO) annotations related to this gene include double-stranded RNA binding. An important paralog of this gene is MAMSTR.

   


Aliases:    3D3; AEG1; AEG-1; LYRIC; LYRIC/3D3    

Entrez GeneID:    92140    

Swissprot :   Q86UE4    

WB Predicted band size:    75KDa    

Host/Isotype :   Mouse IgG1    

Species Reactivity:    Human, Monkey    

Immunogen :   Purified recombinant fragment of human MTDH (AA: 200-450) expressed in mammalian.    

Operation

WB    1/500 - 1/2000    

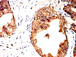
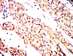
IHC    1/200 - 1/1000    

FCM    1/200 - 1/400    

ELISA    1/10000    

References