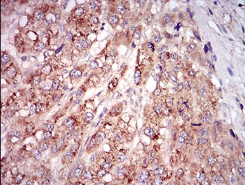
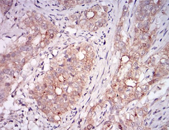
MSTN Mouse Monoclonal antibody[6E4E6]

AccuSift
GDF8; MSLHP
SKU Name Unit Price Delivery QTY
AC2900 MSTN Mouse Monoclonal antibody[6E4E6] 100ug $367 10days
AC2900 MSTN Mouse Monoclonal antibody[6E4E6] 200ug $660.6 10days

The protein encoded by this gene is a member of the bone morphogenetic protein (BMP) family and the TGF-beta superfamily. This group of proteins is characterized by a polybasic proteolytic processing site which is cleaved to produce a mature protein containing seven conserved cysteine residues. The members of this family are regulators of cell growth and differentiation in both embryonic and adult tissues. This gene is thought to encode a secreted protein which negatively regulates skeletal muscle growth.

    

Aliases:    GDF8; MSLHP    

Entrez GeneID:    2660    

Swissprot:    O14793    

WB Predicted band size :   42.8kDa    

Host/Isotype :   Mouse IgG2b    

Species Reactivity:    Human    

Immunogen :   Purified recombinant fragment of human MSTN (AA:24-266) expressed in E. Coli.    

Operation

IHC    1/200 - 1/1000    

ELISA    1/10000    

References