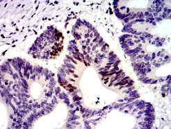
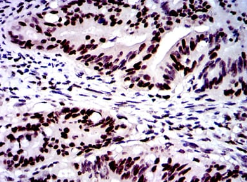
MSH6 Mouse Monoclonal antibody[3E1A6]

AccuSift
GTBP; HSAP; HNPCC5
SKU Name Unit Price Delivery QTY
AC2889 MSH6 Mouse Monoclonal antibody[3E1A6] 100ug $367 10days
AC2889 MSH6 Mouse Monoclonal antibody[3E1A6] 200ug $660.6 10days

This gene encodes a protein similar to the MutS protein. In E. coli, the MutS protein helps in the recognition of mismatched nucleotides, prior to their repair. A highly conserved region of approximately 150 aa, called the Walker-A adenine nucleotide binding motif, exists in MutS homologs. The encoded protein of this gene combines with MSH2 to form a mismatch recognition complex that functions as a bidirectional molecular switch that exchanges ADP and ATP as DNA mismatches are bound and dissociated. Mutations in this gene have been identified in individuals with hereditary nonpolyposis colon cancer (HNPCC) and endometrial cancer.

   


Aliases :   GTBP; HSAP; HNPCC5    

Entrez GeneID:    2956    

Swissprot :   P52701     

WB Predicted band size :   160kDa    

Host/Isotype  :  Mouse IgG2a    

Species Reactivity:    Human    

Immunogen:    Purified recombinant fragment of human MSH6 expressed in E. Coli.    

Operation

WB    1/500 - 1/2000    

IHC    1/200 - 1/1000    

IF/ICC    1/200 - 1/1000    

FCM    1/200 - 1/400    

ELISA    1/10000    

References