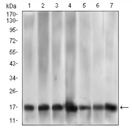
MRPL42 Mouse Monoclonal antibody[3H654]

AccuSift
L31MT; L42MT; S32MT; MRPL31; MRPS32; PTD007; RPML31; HSPC204; MRP-L31; MRP-L42; MRP-S32
SKU Name Unit Price Delivery QTY
AC2875 MRPL42 Mouse Monoclonal antibody[3H654] 100ug $367 10days
AC2875 MRPL42 Mouse Monoclonal antibody[3H654] 200ug $660.6 10days

Mammalian mitochondrial ribosomal proteins are encoded by nuclear genes and help in protein synthesis within the mitochondrion. Mitochondrial ribosomes (mitoribosomes) consist of a small 28S subunit and a large 39S subunit. They have an estimated 75% protein to rRNA composition compared to prokaryotic ribosomes, where this ratio is reversed. Another difference between mammalian mitoribosomes and prokaryotic ribosomes is that the latter contain a 5S rRNA. Among different species, the proteins comprising the mitoribosome differ greatly in sequence, and sometimes in biochemical properties, which prevents easy recognition by sequence homology. This gene encodes a protein identified as belonging to both the 28S and the 39S subunits. Alternative splicing results in multiple transcript variants. Pseudogenes corresponding to this gene are found on chromosomes 4q, 6p, 6q, 7p, and 15q.



Aliases :   L31MT; L42MT; S32MT; MRPL31; MRPS32; PTD007; RPML31; HSPC204; MRP-L31; MRP-L42; MRP-S32    

Entrez GeneID :   28977    

Swissprot :   Q9Y6G3    

WB Predicted band size:    16.7kDa    

Host/Isotype :   Mouse IgG1    

Species Reactivity :   Human    

Immunogen:    Purified recombinant fragment of human MRPL42 (AA: 142-203) expressed in E. Coli.    

Operation

WB    1/500 - 1/2000    

IHC    1/200 - 1/1000    

IF/ICC    1/300    

FCM    1/200 - 1/400    

ELISA    1/10000    

References