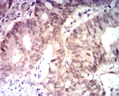
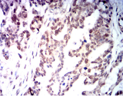
MLH1 Mouse Monoclonal antibody[2B1C5]

AccuSift
FCC2; COCA2; HNPCC; hMLH1; HNPCC2
SKU Name Unit Price Delivery QTY
AC2841 MLH1 Mouse Monoclonal antibody[2B1C5] 100ug $367 10days
AC2841 MLH1 Mouse Monoclonal antibody[2B1C5] 200ug $660.6 10days

The protein encoded by this gene can heterodimerize with mismatch repair endonuclease PMS2 to form MutL alpha, part of the DNA mismatch repair system. When MutL alpha is bound by MutS beta and some accessory proteins, the PMS2 subunit of MutL alpha introduces a single-strand break near DNA mismatches, providing an entry point for exonuclease degradation. The encoded protein is also involved in DNA damage signaling and can heterodimerize with DNA mismatch repair protein MLH3 to form MutL gamma, which is involved in meiosis. This gene was identified as a locus frequently mutated in hereditary nonpolyposis colon cancer (HNPCC). [provided by RefSeq, Aug 2017]

    

Aliases:    FCC2; COCA2; HNPCC; hMLH1; HNPCC2    

Entrez GeneID :   4292    

Swissprot :   P40692    

WB Predicted band size :   84.6kDa    

Host/Isotype:    Mouse IgG1    

Species Reactivity:    Human    

Immunogen:    Purified recombinant fragment of human MLH1 (AA:381-483) expressed in E. Coli.    

Operation

WB    1/500 - 1/2000    

IHC    1/200-1/1000    

FCM    1/200-1/400    

ELISA    1/10000    

References