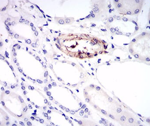
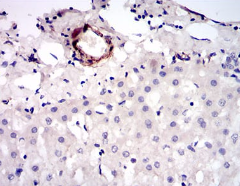
MCAM Mouse Monoclonal antibody[6C3F1]

AccuSift
CD146; MUC18
SKU Name Unit Price Delivery QTY
AC2806 MCAM Mouse Monoclonal antibody[6C3F1] 100ug $367 10days
AC2806 MCAM Mouse Monoclonal antibody[6C3F1] 200ug $660.6 10days

The protein encoded by this gene plays a role in cell adhesion, and in cohesion of the endothelial monolayer at intercellular junctions in vascular tissue. Its expression may allow melanoma cells to interact with cellular elements of the vascular system, thereby enhancing hematogeneous tumor spread. Could be an adhesion molecule active in neural crest cells during
embryonic development. Acts as surface receptor that triggers tyrosine phosphorylation of FYN and PTK2/FAK1, and a transient increase in the intracellular calcium concentration



Aliases:    CD146; MUC18    

Entrez GeneID:    4162    

Swissprot :   P43121      

WB Predicted band size:    71.6kDa    

Host/Isotype:    Mouse IgG1    

Species Reactivity:    Human    

Immunogen:    Purified recombinant fragment of human MCAM (AA: 84-189) expressed in E. Coli.    

Operation

WB    1/500 - 1/2000    

IHC    1/200 - 1/1000    

ELISA    1/10000    

References