| SKU | Name | Unit | Price | Delivery | QTY |
|---|---|---|---|---|---|
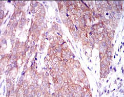
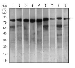
| AC2797 | MARK3 Mouse Monoclonal antibody[2G12] | 100ug | $367 | 10days |
|
| AC2797 | MARK3 Mouse Monoclonal antibody[2G12] | 200ug | $660.6 | 10days |
|

WeChat