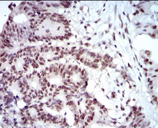
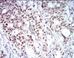
MAPK7 Mouse Monoclonal antibody[8H1D5]

AccuSift
BMK1; ERK4; ERK5; PRKM7
SKU Name Unit Price Delivery QTY
AC2794 MAPK7 Mouse Monoclonal antibody[8H1D5] 100ug $367 10days
AC2794 MAPK7 Mouse Monoclonal antibody[8H1D5] 200ug $660.6 10days

The protein encoded by this gene is a member of the MAP kinase family. MAP kinases act as an integration point for multiple biochemical signals, and are involved in a wide variety of cellular processes such as proliferation, differentiation, transcription regulation and development. This kinase is specifically activated by mitogen-activated protein kinase kinase 5 (MAP2K5/MEK5). It is involved in the downstream signaling processes of various receptor molecules including receptor type kinases, and G protein-coupled receptors. In response to extracelluar signals, this kinase translocates to cell nucleus, where it regulates gene expression by phosphorylating, and activating different transcription factors. Four alternatively spliced transcript variants of this gene encoding two distinct isoforms have been reported.



Aliases:    BMK1; ERK4; ERK5; PRKM7    

Entrez GeneID:    5598    

Swissprot :   Q13164       

WB Predicted band size :   88.4kDa    

Host/Isotype :  Mouse IgG1    

Species Reactivity:    Human    

Immunogen:    Purified recombinant fragment of human MAPK7 (AA: 411-556) expressed in E. Coli.    

Operation

IHC    1/200 - 1/1000    

ELISA    1/10000    

References