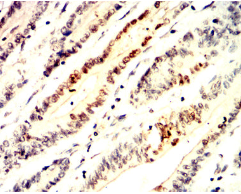
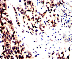
MAP4K1 Mouse Monoclonal antibody[5A10F]

AccuSift
HPK1
SKU Name Unit Price Delivery QTY
AC2785 MAP4K1 Mouse Monoclonal antibody[5A10F] 100ug $367 10days
AC2785 MAP4K1 Mouse Monoclonal antibody[5A10F] 200ug $660.6 10days

MAP4K1 (Mitogen-Activated Protein Kinase Kinase Kinase Kinase 1) is a Protein Coding gene. Among its related pathways are Angiopoietin Like Protein 8 Regulatory Pathway and B cell receptor signaling pathway (KEGG). Gene Ontology (GO) annotations related to this gene include transferase activity, transferring phosphorus-containing groups and protein tyrosine kinase activity. An important paralog of this gene is MAP4K3.



Aliases:    HPK1    

Entrez GeneID:    11184    

Swissprot:    Q92918     

WB Predicted band size :   91.3kDa    

Host/Isotype:    Mouse IgG1    

Species Reactivity:    Human, Mouse, Monkey, Rat    

Immunogen:    Purified recombinant fragment of human MAP4K1 (AA:278-477) expressed in mammalian.    

Operation

WB    1/500 - 1/2000    

IHC    1/200 - 1/1000    

FCM    1/200 - 1/400    

ELISA    1/10000    

References