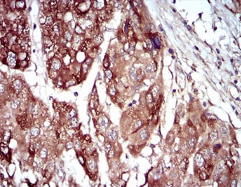
MAP2K5 Mouse Monoclonal antibody[5H11]

AccuSift
MEK5; MAPKK5; PRKMK5; HsT17454
SKU Name Unit Price Delivery QTY
AC2777 MAP2K5 Mouse Monoclonal antibody[5H11] 100ug $367 10days
AC2777 MAP2K5 Mouse Monoclonal antibody[5H11] 200ug $660.6 10days

The protein encoded by this gene is a dual specificity protein kinase that belongs to the MAP kinase kinase family. This kinase specifically interacts with and activates MAPK7/ERK5. This kinase itself can be phosphorylated and activated by MAP3K3/MEKK3, as well as by atypical protein kinase C isoforms (aPKCs). The signal cascade mediated by this kinase is involved in growth factor stimulated cell proliferation and muscle cell differentiation. Three alternatively spliced transcript variants of this gene encoding distinct isoforms have been described.



Aliases:    MEK5; MAPKK5; PRKMK5; HsT17454    

Entrez GeneID:    5607    

Swissprot:    Q13163    

WB Predicted band size:    50kDa    

Host/Isotype:    Mouse IgG1    

Species Reactivity:    Human    

Immunogen:    Purified recombinant fragment of human MAP2K5 (AA: 63-180) expressed in E. Coli.    

Operation

WB    1/500 - 1/2000    

IHC    1/200 - 1/1000    

FCM    1/200 - 1/400    

ELISA    1/10000    

References