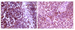
MAP2K4 Mouse Monoclonal antibody[2D10D]

AccuSift
JNKK; MEK4; MKK4; SEK1; JNKK1; SERK1; MAPKK4; PRKMK4; MAP2K4
SKU Name Unit Price Delivery QTY
AC2775 MAP2K4 Mouse Monoclonal antibody[2D10D] 100ug $367 10days
AC2775 MAP2K4 Mouse Monoclonal antibody[2D10D] 200ug $660.6 10days

MAP2K4(mitogen-activated protein kinase kinase 4), which is located on chromosome 17p11.2, with 399-amino acid protein (about 45 kDa), belongs to the family of protein kinases located upstream of the MAP kinases and responsible for their activation has been identified. MEK-4 (also called MEK4/MKK4) activates both p38 and JNK MAP kinases.
MKK4 is a central mediator in the stress activated protein kinase signaling pathway that responds to a number of cellular and environmental stressors. By phosphorylating MAP kinases such as JNK,MKK4 can ultimately transmit stress signals to nuclear transcription factors that mediate various processes including proliferation, apoptosis, and differentiation. Its distinct biological functions have been identified for MKK4 including a role in development, hepatogenesis, and metastasis suppression.



Aliases:    MAP2K4    

Entrez GeneID:    6416    

Swissprot:    P45985     

Host/Isotype:    Mouse IgM    

Species Reactivity:    Human    

Immunogen :   Purified recombinant fragment of MAP2K4 expressed in E. Coli.    

Operation

IHC    1/200 - 1/1000    

ELISA    1/10000    

References