MAGEA4 Mouse Monoclonal antibody[1E4C4]

AccuSift
CT1.4; MAGE4; MAGE4A; MAGE4B; MAGE-41; MAGE-X2
SKU Name Unit Price Delivery QTY
AC2765 MAGEA4 Mouse Monoclonal antibody[1E4C4] 100ug $367 10days
AC2765 MAGEA4 Mouse Monoclonal antibody[1E4C4] 200ug $660.6 10days

This gene is a member of the MAGEA gene family. The members of this family encode proteins with 50 to 80% sequence identity to each other. The promoters and first exons of the MAGEA genes show considerable variability, suggesting that the existence of this gene family enables the same function to be expressed under different transcriptional controls. The MAGEA genes are clustered at chromosomal location Xq28. They have been implicated in some hereditary disorders, such as dyskeratosis congenita. Several variants encoding the same protein have been found for this gene.



Aliases:    CT1.4; MAGE4; MAGE4A; MAGE4B; MAGE-41; MAGE-X2    

Entrez GeneID :   4103    

Swissprot :   P43358      

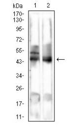
WB Predicted band size :   34.8kDa    

Host/Isotype :   Mouse IgG1    

Species Reactivity:   Human, Mouse, Rat    

Immunogen:    Purified recombinant fragment of human MAGEA4 (AA: 1-225) expressed in E. Coli.    

Operation

WB    1/500 - 1/2000    

FCM    1/200 - 1/400    

ELISA    1/10000    

References