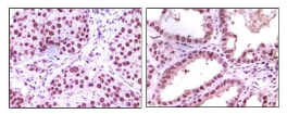
LSD1/AOF2 Mouse Monoclonal antibody[1B2F2]

AccuSift
KDM1; LSD1; BHC110; KIAA0601; RP1-184J9.1; AOF2
SKU Name Unit Price Delivery QTY
AC2758 LSD1/AOF2 Mouse Monoclonal antibody[1B2F2] 100ug $367 10days
AC2758 LSD1/AOF2 Mouse Monoclonal antibody[1B2F2] 200ug $660.6 10days

The amine oxidase domain 2 (AOF2) gene encodes a nuclear protein (LSD1, ~95kDa) containing a Swirm domain, a FAD-binding motif, and an amine oxidase domain. This protein is a component of several histone deacetylase complexes, though it silences genes by functioning as a histone demethylase. LSD1 is a chromatin-modifying enzyme, which serve as a docking module for the stabilization of the associated corepressor complex (es) on chromatin.



Aliases :   KDM1; LSD1; AOF2    

Entrez GeneID:    23028    

Swissprot :   O60341     

WB Predicted band size:    93kDa    

Host/Isotype :   Mouse IgG1    

ASpecies Reactivity:    Human,Mouse,Monkey    

Immunogen:    Purified recombinant fragment of human LSD1 expressed in E. Coli.    

Operation

WB    1/500 - 1/2000    

IHC    1/200 - 1/1000    

ELISA    1/10000    

References