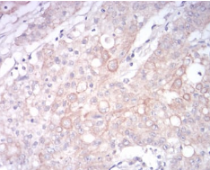
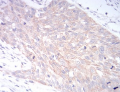
LRP1 Mouse Monoclonal antibody[3F12E2]

AccuSift
APR; LRP; A2MR; CD91; APOER; LRP1A; TGFBR5; IGFBP3R
SKU Name Unit Price Delivery QTY
AC2745 LRP1 Mouse Monoclonal antibody[3F12E2] 100ug $367 10days
AC2745 LRP1 Mouse Monoclonal antibody[3F12E2] 200ug $660.6 10days

The protein encoded by this gene is an endocytic receptor involved in several cellular processes, including intracellular signaling, lipid homeostasis, and clearance of apoptotic cells. In addition, the encoded protein is necessary for the A2M-mediated clearance of secreted amyloid precursor protein and beta-amyloid, the main component of amyloid plaques found in Alzheimer patients. Expression of this gene decreases with age and has been found to be lower than controls in brain tissue from Alzheimer patients.



Aliases :   APR; LRP; A2MR; CD91; APOER; LRP1A; TGFBR5; IGFBP3R    

Entrez GeneID :   4035    

Swissprot :   Q07954    

WB Predicted band size:    50.5kDa    

Host/Isotype :   Mouse IgG1    

Species Reactivity:    Human    

Immunogen  :  Purified recombinant fragment of human LRP1 (AA: 20-155) expressed in E. Coli.    

Operation

IHC    1/200 - 1/1000    

IF/ICC    1/200 - 1/1000    

FCM    1/200 - 1/400    

ELISA    1/10000    

References