KRT19 Mouse Monoclonal antibody[2A1G9]

AccuSift
K19; CK19; K1CS
SKU Name Unit Price Delivery QTY
AC2689 KRT19 Mouse Monoclonal antibody[2A1G9] 100ug $367 10days
AC2689 KRT19 Mouse Monoclonal antibody[2A1G9] 200ug $660.6 10days

The protein encoded by this gene is a member of the keratin family. The keratins are intermediate filament proteins responsible for the structural integrity of epithelial cells and are subdivided into cytokeratins and hair keratins. The type I cytokeratins consist of acidic proteins which are arranged in pairs of heterotypic keratin chains. Unlike its related family members, this smallest known acidic cytokeratin is not paired with a basic cytokeratin in epithelial cells. It is specifically expressed in the periderm, the transiently superficial layer that envelopes the developing epidermis. The type I cytokeratins are clustered in a region of chromosome 17q12-q21. [provided by RefSeq, Jul 2008]



Aliases :   K19; CK19; K1CS    

Entrez GeneID:    3880    

Swissprot:   P08727    

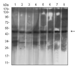
WB Predicted band size:    44.1kDa    

Host/Isotype :   Mouse IgG1    

Species Reactivity:    Human, Rat    

Immunogen:    Purified recombinant fragment of human KRT19 (AA: 80-400) expressed in E. Coli.    

Operation

WB    1/500 - 1/2000    

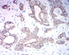
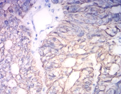
IHC    1/200 - 1/1000    

FCM    1/200 - 1/400    

ELISA    1/10000    

References