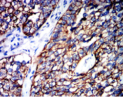
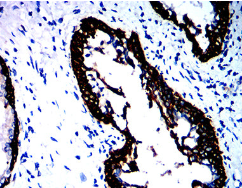
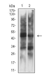
KRT15 Mouse Monoclonal antibody[1B6A9]

AccuSift
K15; CK15; K1CO
SKU Name Unit Price Delivery QTY
AC2684 KRT15 Mouse Monoclonal antibody[1B6A9] 100ug $367 10days
AC2684 KRT15 Mouse Monoclonal antibody[1B6A9] 200ug $660.6 10days

The protein encoded by this gene is a member of the keratin gene family. The keratins are intermediate filament proteins responsible for the structural integrity of epithelial cells and are subdivided into cytokeratins and hair keratins. Most of the type I cytokeratins consist of acidic proteins which are arranged in pairs of heterotypic keratin chains and are clustered in a region on chromosome 17q21.2.



Aliases:    K15; CK15; K1CO    

Entrez GeneID:    3866    

Swissprot:    P19012    

WB Predicted band size:    49.2Kda    

Host/Isotype:    Mouse IgG1    

Species Reactivity:    Human    

Immunogen:    Purified recombinant fragment of human KRT15 (AA: 105-456) expressed in E. Coli.    

Operation

WB    1/500 - 1/2000    

IHC    1/200 - 1/1000    

FCM    1/200 - 1/400    

ELISA    1/10000    

References