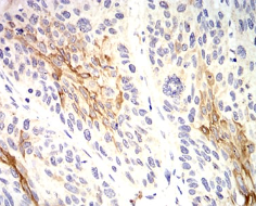
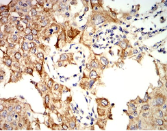
KRT10 Mouse Monoclonal antibody[1C3D9]

AccuSift
BIE; EHK; K10; KPP; BCIE; CK10
SKU Name Unit Price Delivery QTY
AC2673 KRT10 Mouse Monoclonal antibody[1C3D9] 100ug $367 10days
AC2673 KRT10 Mouse Monoclonal antibody[1C3D9] 200ug $660.6 10days

This gene encodes a member of the type I (acidic) cytokeratin family, which belongs to the superfamily of intermediate filament (IF) proteins. Keratins are heteropolymeric structural proteins which form the intermediate filament. These filaments, along with actin microfilaments and microtubules, compose the cytoskeleton of epithelial cells. Mutations in this gene are associated with epidermolytic hyperkeratosis. This gene is located within a cluster of keratin family members on chromosome 17q21.


Aliases:    BIE; EHK; K10; KPP; BCIE; CK10    

Entrez GeneID:    3858    

Swissprot :   P13645    

WB Predicted band size :   58.8kDa    

Host/Isotype:    Mouse IgG1    

Species Reactivity:    Human,Monkey    

Immunogen :   Purified recombinant fragment of human KRT10 (AA: 345-454 ) expressed in E. Coli.    


Operation

WB    1/500 - 1/2000    

IHC    1/200 - 1/1000    

ELISA    1/10000    

References