KMT2D Mouse Monoclonal antibody[1DP0]

AccuSift
ALR; KMS; MLL2; MLL4; AAD10; KABUK1; TNRC21; CAGL114
SKU Name Unit Price Delivery QTY
AC2668 KMT2D Mouse Monoclonal antibody[1DP0] 100ug $367 10days
AC2668 KMT2D Mouse Monoclonal antibody[1DP0] 200ug $660.6 10days

The protein encoded by this gene is a histone methyltransferase that methylates the Lys-4 position of histone H3. The encoded protein is part of a large protein complex called ASCOM, which has been shown to be a transcriptional regulator of the beta-globin and estrogen receptor genes. Mutations in this gene have been shown to be a cause of Kabuki syndrome.

   


Aliases:    ALR; KMS; MLL2; MLL4; AAD10; KABUK1; TNRC21; CAGL114    

Entrez GeneID:    8085    

Swissprot :   O14686    

WB Predicted band size:    593kDa    

Host/Isotype:    Mouse IgG2b    

Species Reactivity:    Human    

Immunogen :   Purified recombinant fragment of human KMT2D (AA: 445-599) expressed in E. Coli.    


Operation

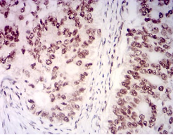
IHC    1/200 - 1/1000    

FCM    1/200 - 1/400    

ELISA    1/10000    

References