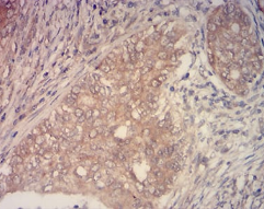
KMT2C Mouse Monoclonal antibody[6D1B9]

AccuSift
HALR; MLL3; KLEFS2
SKU Name Unit Price Delivery QTY
AC2666 KMT2C Mouse Monoclonal antibody[6D1B9] 100ug $367 10days
AC2666 KMT2C Mouse Monoclonal antibody[6D1B9] 200ug $660.6 10days

This gene is a member of the myeloid/lymphoid or mixed-lineage leukemia (MLL) family and encodes a nuclear protein with an AT hook DNA-binding domain, a DHHC-type zinc finger, six PHD-type zinc fingers, a SET domain, a post-SET domain and a RING-type zinc finger. This protein is a member of the ASC-2/NCOA6 complex (ASCOM), which possesses histone methylation activity and is involved in transcriptional coactivation. [provided by RefSeq, Jul 2008]



Aliases :   HALR; MLL3; KLEFS2    

Entrez GeneID:    58508    

Swissprot:    Q8NEZ4    

WB Predicted band size:    541.4kDa    

Host/Isotype:    Mouse IgG1        

Species Reactivity:    Human    

Immunogen :   Purified recombinant fragment of human KMT2C (AA: 1-205) expressed in E. Coli.    

Operation

IHC    1/200 - 1/1000    

IF/ICC    1/200 - 1/1000    

FCM    1/200 - 1/400    

ELISA    1/10000    

References