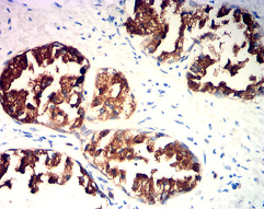
KLK2 Mouse Monoclonal antibody[4B1F7]

AccuSift
hK2; hGK-1; KLK2A2
SKU Name Unit Price Delivery QTY
AC2662 KLK2 Mouse Monoclonal antibody[4B1F7] 100ug $367 10days
AC2662 KLK2 Mouse Monoclonal antibody[4B1F7] 200ug $660.6 10days

This gene encodes a member of the grandular kallikrein protein family. Kallikreins are a subgroup of serine proteases that are clustered on chromosome 19. Members of this family are involved in a diverse array of biological functions. The protein encoded by this gene is a highly active trypsin-like serine protease that selectively cleaves at arginine residues. This protein is primarily expressed in prostatic tissue and is responsible for cleaving pro-prostate-specific antigen into its enzymatically active form. This gene is highly expressed in prostate tumor cells and may be a prognostic maker for prostate cancer risk. Alternate splicing results in both coding and non-coding transcript variants.



Aliases:    hK2; hGK-1; KLK2A2    

Entrez GeneID:    3817    

Swissprot:    P20151    

WB Predicted band size:    28.6kDa    

Host/Isotype :   Mouse IgG1    

Species Reactivity:    Human    

Immunogen:    Purified recombinant fragment of human KLK2 (AA: 25-261) expressed in E. Coli.    

Operation

IHC    1/200 - 1/1000    

IF/ICC    1/50 - 1/200    

FCM    1/200 - 1/400    

ELISA    1/10000    

References