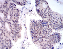
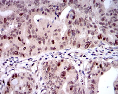
KID Mouse Monoclonal antibody[1E3E1]

AccuSift
KIF22; KID; OBP; KNSL4; OBP-1; OBP-2; A-328A3.2
SKU Name Unit Price Delivery QTY
AC2637 KID Mouse Monoclonal antibody[1E3E1] 100ug $367 10days
AC2637 KID Mouse Monoclonal antibody[1E3E1] 200ug $660.6 10days

The protein encoded by this gene is a member of kinesin-like protein family. This family of proteins are microtubule-dependent molecular motors that transport organelles within cells and move chromosomes during cell division. The C-terminal half of this protein has been shown to bind DNA. Studies with the Xenopus homolog suggests its essential role in metaphase chromosome alignment and maintenance.



Aliases:    KIF22; KID; OBP; KNSL4; OBP-1; OBP-2; A-328A3.2    

Entrez GeneID :   3835    

Swissprot:   Q14807    

WB Predicted band size :   73kDa    

Host/Isotype :   Mouse IgG1  

Species Reactivity:    Human    

Immunogen :   Purified recombinant fragment of human KID expressed in E. Coli.    

Operation

IHC    1/200 - 1/1000    

FCM    1/200 - 1/400    

ELISA    1/10000    

References